はじめに

皆さんは「アライメント」という言葉を聞いたことはありますか?、アライメントは一般的には「一列に並べること」の意味があります。脚の場合はいわゆるO脚などの脚の並びのことで、足の場合は足首の向きや足や足の指の並びのことを指します。 今回はひざの痛みを感じて受診される患者さんの中で「変形性膝関節症」という症状のご説明と、こういった症状の患者さんの脚や足のアライメントを整える「骨切り術」についてお話ししたいと思います。膝の痛みを軽くする「膝周囲骨切り術」についてです。
変形性膝関節症とは?

正常なひざは表面の軟骨が滑らかでスムーズに動くようになっていますが、加齢や様々な要因により軟骨がすり減り、関節の中で炎症がおきて水が溜まったり、かみ合わせが悪くなり、変形が進行すると歩行困難になったりすることもあります。 症状としては歩き始めや階段昇降、また膝を伸ばして寝ていると痛みが出たり、寒い時に痛みが強くなることがあります。進行すると膝の動きの制限も出てきますし、さらには関節の腫れや熱感が出現したり、進行すると外からでも変形がわかるようになり最終的には歩行困難になります。
診断としては症状や所見、外観から変形性膝関節症を疑いX線像で診断します。またX線像で所見があまりない場合はMRI検査を実施することがあります。MRIでは、関節に水が溜まっていたり、半月板や靭帯、軟骨の損傷がわかります。また、大腿骨や脛骨に骨壊死と呼ばれる状態が見られることもあります。
変形性関節症の治療

治療の基本は膝周囲の運動や鎮痛剤などの薬物療法、サポーターなどの装具療法、ヒアルロン酸の関節内注射などの保存的治療です。保存的治療で改善しない場合に手術療法を選択します。手術療法としては関節鏡というカメラで行う負担の少ない手術から、変形が進行した場合に行われる人工関節置換術といった大きな手術まであります。 その中である程度変形しているものの正座などが可能であったり、人工関節置換術をするにはまだ早い年齢などに対して「膝周囲骨切り術」が実施されます。
日本人の場合は膝が変形してくるとO脚になることが多いですが、この骨切り術でアライメントが矯正され膝の痛みなどの症状も見た目も改善します。
膝周囲骨切り術について

「膝周囲骨切り術」は大腿骨(太ももの骨)や脛骨(すねの骨)の膝に近い部分を切って向きを変えO脚を矯正する方法です。
人工物と違い自分の骨で直せますので、60歳以下の若い世代を中心に手術適応となりますが、最近では70歳台の方にも正座が可能な場合などは積極的に行われます。
この手術では、骨の変形の部位や程度、矯正する角度に応じて骨切りする部位などが変わってきます。一番多いのは内側開大式高位脛骨骨切り術といって脛骨の内側を骨切りし開いて人工骨を挿入する方法(図1)です。他にも外側閉鎖式高位脛骨骨切り術や遠位大腿骨骨切り術(図2)、また場合によってはそれらを組み合わせた大腿骨・脛骨両側骨切り術(図3)などもあります。
変形性膝関節症に対する骨切り術は、自分の骨で治せるため、術後状態が改善すれば正座やスポーツ復帰が可能になるよい手術です。ただし適応が限られるため全ての人に行える手術でないため、まずはお近くの整形外科医に御相談ください。

骨切り術について【あし編】
はじめに

足首の痛みを軽くする「下位脛骨骨切り術」と外反母趾に対する骨切り術についてご紹介したいと思います。
変形性足関節症とは?
正常な足首は表面の軟骨が滑らかでスムーズに動くようになっていますが、捻挫などを繰り返したり、すねの骨の向きが変わっていたりすると軟骨がすり減り、体重をかけた時に足が傾いたり足首が腫れたりしてきます。
変形が進行すると足首の動きが徐々に悪くなり歩行困難になったりすることもあります。診断としては症状や所見、外観から変形性足関節症を疑いX線像で診断します。特に体重をかけた状態でX線撮影を行い程度を把握します。場合によってMRIやCTも実施します。
変形性足関節症の治療

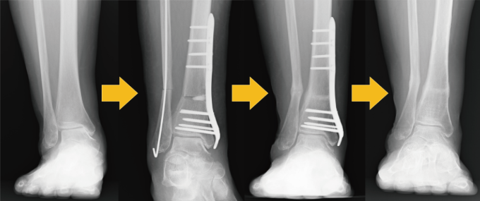
治療の基本は鎮痛剤・湿布などの薬物療法、またサポーターや足底板などの装具療法になります。保存的治療で改善しない場合は手術療法を選択します。手術療法としては軽症例では関節鏡というカメラで関節の中をお掃除するような負担の少ない手術から、変形が進行すると関節固定や人工関節置換術といった手術が行われます。その中である程度変形しているものの程度が部分的な場合(多くの場合は内側)は「下位脛骨骨切り術」が実施されます。この骨切り術はすねの骨の足首に近い方を切って並びを矯正し足首の負担を軽くする方法です(図参照)。アライメントが改善されると痛みが軽減します。
外反母趾について

外反母趾は皆さんもご存じの通り、足の親指が外側に曲がってくる状態で、原因としては扁平足や腱の機能不全、靴の不適応などがあります。治療の基本は他の疾患と同じで足の指の運動や薬物療法、また外反母趾用のサポーターなどの装具療法になります。保存的治療で症状が改善しない、また変形が強い場合などに手術療法を選択します。
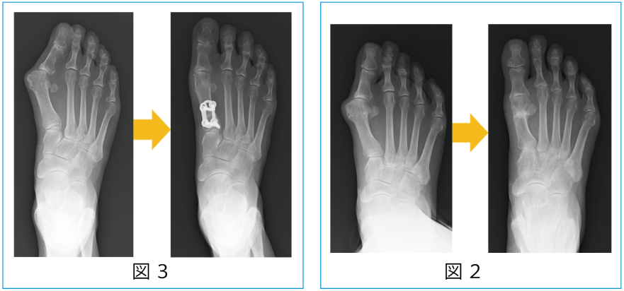
外反母趾に対する骨切り術は非常に多くの術式がありますが、変形の程度などに応じて骨以外の軟部組織で矯正する方法と骨切りで矯正する方法があり、実際にはそれらを組み合わせて行います。骨切りについては変形が中等度までは第1中足骨遠位骨切り(ミッチェル変法)(図2)、変形が重度の場合は第1中足骨近位骨切り(マン変法)(図3)などが行われます。また足の裏に胼胝(たこ)ができたりする場合にはそれらに対して中足骨骨切り術などを併用します。術後はしばらくサンダル型装具を装着したりサポーターの装着が必要になります。

脚や足のアライメント矯正
各下肢の疾患に対する骨切り術は人工物による手術と違い自分の骨で治せるため、術後状態が改善すれば見た目が改善しスポーツ復帰が可能になるよい手術です。ただし各骨切り術とも適応については限られるため、まずはお近くの整形外科医に御相談頂き治療を受けるようにしてください。
この手術では、自分の関節を温存し、機能を維持することができるため、術後の日常生活の制限が比較的少なくなりますが、手術をすればすぐに治るというものではありません。
人工骨が自身の骨とくっつけば活動制限はありませんが、それまでは正座や激しい運動などを控える必要があります。手術を受けてどんどんスポーツをしたいという方でも、少し我慢の時期は必要ですし、リハビリもしっかり行う事が重要です。それまで医師や看護師、リハビリスタッフなどの多職種連携で一生懸命サポートさせていただきます。
我慢をしないで、気になる膝の痛みについて、原因を知り、適切な治療を行うことで症状の改善が期待できます。
どの治療法を選択するかは、患者さん一人ひとりが望むゴールによって変わってきます。
よく相談した上で選択していきましょう。
