変形性足関節症とは?

正常な足首は表面の軟骨が滑らかでスムーズに動くようになっていますが、捻挫などを繰り返したり、すねの骨の向きが変わっていたりすると軟骨がすり減り、体重をかけた時に足が傾いたり足首が腫れたりしてきます。
変形が進行すると足首の動きが徐々に悪くなり歩行困難になったりすることもあります。診断としては症状や所見、外観から変形性足関節症を疑いX線像で診断します。特に体重をかけた状態でX線撮影を行い程度を把握します。場合によってMRIやCTも実施します。
現在当院では変形性足関節症において、保存的治療の適用外と判断できたり、症状の進行の程度に合わせて1.関節鏡手術(滑膜切除・骨棘切除など)、2.低位脛骨骨切り術、3.足関節固定術(鏡視下・観血的)を実施しております。特に低位脛骨骨切り術については症例数は多くありませんが、手術実施により疼痛軽減など症状の改善がみられています。
変形性足関節症の治療
治療の基本は鎮痛剤・湿布などの薬物療法、またサポーターや足底板などの装具療法になります。保存的治療で改善しない場合は手術療法を選択します。手術療法としては軽症例では関節鏡というカメラで関節の中をお掃除するような負担の少ない手術から、変形が進行すると関節固定や人工関節置換術といった手術が行われます。
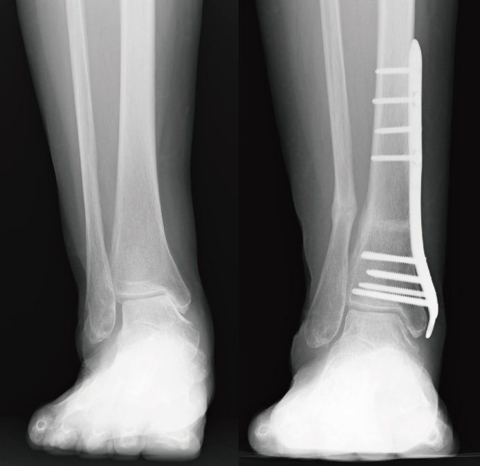
その中である程度変形しているものの程度が部分的な場合(多くの場合は内側)は「下位脛骨骨切り術」が実施されます。この骨切り術はすねの骨の足首に近い方を切って並びを矯正し足首の負担を軽くする方法です(図参照)。アライメントが改善されると痛みが軽減します。
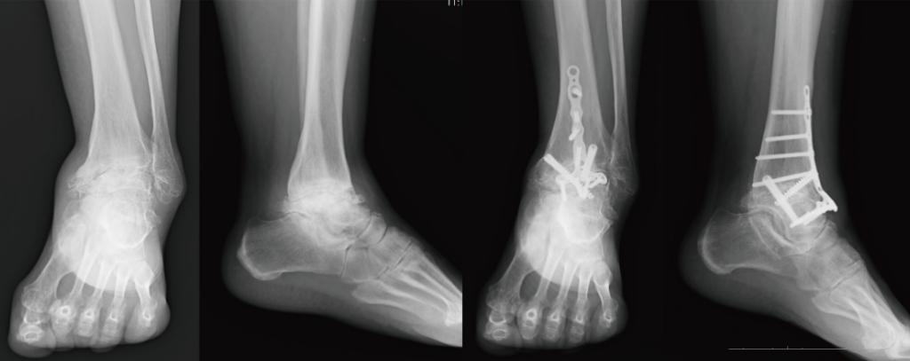
↓観血的関節固定術(他家骨移植併用例)

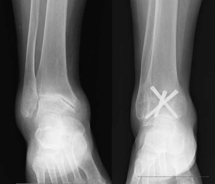
↓鏡視下関節固定術

↓下位脛骨骨切り術

